• Skip to content
  • Skip to footer
  • Accessibility options
Home
Home
University of Brighton
Search Toggle
  • Accessibility and
    language options
Home
  • Close
  • Study here
    • Get to know us
    • Why choose Brighton?
    • Explore our prospectus
    • Ask us a question
    • Meet us
    • Open days and visits
    • Virtual tours
    • Applicant days
    • Living here and accommodation
    • Our accommodation and locations
    • Our halls
    • Helping you find a home
    • What you can study
    • Find a course
    • Full A-Z course list
    • Explore our subjects
    • Our academic departments
    • How to apply
    • Undergraduate application process
    • Postgraduate application process
    • International student application process
    • January start masters courses
    • Apprenticeships
    • Transfer from another university
    • International students
    • Clearing
    • Funding your time at uni
    • Fees and financial support
    • What's included in your fees
    • Brighton Boost – extra financial help
    • Supporting you
    • Your academic experience
    • Your wellbeing
    • Your career and employability
    • Advice and guidance
    • Advice for students
    • Guide for offer holders
    • Advice for parents and carers
    • Advice for schools and colleges
  • International
    • International students
    • Study with us
    • Your country information
    • Why choose us?
    • Courses and qualifications
    • View our international prospectus
    • Meet us at an event
    • Applying to Brighton
    • How to apply
    • Fees and funding
    • Accommodation
    • Visas and immigration
    • Help and advice
    • Preparing for university
    • Ask us a question
  • Research
    • Research and knowledge exchange
    • Research and knowledge exchange organisation
    • The Global Challenges
    • Centres of Research Excellence (COREs)
    • Research Excellence Groups (REGs)
    • Our research database
    • Community University Partnership Programme (CUPP)
    • Postgraduate research degrees
    • PhD research disciplines and programmes
    • PhD funding opportunities and studentships
    • How to apply for your PhD
    • Research environment
    • Investing in research careers
    • Strategic plan
    • Research concordat
    • News, events, publications and films
    • Featured research and knowledge exchange projects
    • Research and knowledge exchange news
    • Inaugural lectures
    • Research and knowledge exchange publications and films
    • Academic staff search
  • Business
    • Businesses and employers
    • Support for SMEs
    • Work with students
    • Knowledge transfer partnerships
    • Apprenticeships
    • Conferences
  • About us
    • About us
    • Our leaders and direction
    • University leadership
    • University strategy
    • Our location
    • Our campuses
    • Our city
    • Our facilities – for everyone
    • Jobs at the university
    • Alumni and supporters
    • Alumni services
    • Our alumni
    • Support us
    • New alumni
    • Staff intranet
    • Current students – My Brighton
    • Contact us
  • Accessibility
Search our site
Image of checkland building falmer campus
About us
  • About us
  • Your university
  • Governance and structure
  • Working with us
  • Statistics and legal
  • News and events
  • Contact us
  • News and events
  • News
  • 2018
  • Scabies being undiagnosed in the elderly

Scabies being undiagnosed in the elderly

Elderly people with scabies are suffering long periods without treatment, according to new research by the Brighton and Sussex Medical School (BSMS), run jointly by the universities if Brighton and Sussex.

3 July 2018

The main cause was that symptoms in the elderly differ from those which nurses and carers are used to seeing, particularly in young people.

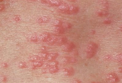
Scabies is caused by a mite and results in severe itching and a pimple-like rash.

BSMS researchers studied outbreaks in 10 care homes in the South East and found vulnerable patients were not receiving the necessary treatment and were passing scabies on to other residents and staff.

Symptoms tended to be found on parts of the body normally covered by clothes rather than on the hands where healthcare professionals would tend to look for them. In addition, many residents with dementia may not be able to complain of itching, so the condition was also being missed.

Itchy skin rash, photo by NHS

Itchy skin rash, photo by NHS

Professor Jackie Cassell

Professor Jackie Cassell

The 10 outbreaks were studied over 15 months by dermatology-trained physicians. They examined 230 residents with a median age of 86·9 years, 157 of whom had dementia. Over a quarter of residents examined were diagnosed with scabies and more than half of those diagnosed only had signs on areas of the body that are normally covered. The odds of receiving a scabies diagnosis were increased 2.4 times for residents with dementia.

Scabies is a WHO designated Neglected Tropical Disease which remains a public health challenge in the UK. It is mainly transmitted through skin to skin contact, which may include care activities such as washing or dressing. Outbreaks regularly occur in residential and nursing care homes for the elderly, and can be difficult to manage, distressing and highly stigmatising.

First Author and Head of the Department of Primary Care and Public Health at BSMS, Professor Jackie Cassell, said: “Although scabies has long been known to be a problem in residential care for the elderly, our study has shown why it has been so difficult to recognise and control in this setting.

“Symptoms in this vulnerable population are typically very different from what doctors have been taught to expect, which makes it harder for care home staff and clinicians to diagnosis scabies. What’s more, those with dementia are particularly at risk of being left undiagnosed, given their difficulties with communicating discomfort and itching.”

Professor Cassell added: “We believe our findings will make it easier for doctors and care home staff to recognise scabies outbreaks quicker, by showing how scabies presents differently in this elderly and vulnerable population. It’s important that they undertake thorough examinations of patients, particularly in those with dementia. By putting these practices into place through guidelines and educational material, we hope to see a reduction in the number of outbreaks in such residential settings, and quicker diagnosis and treatment.”

The study was conducted in collaboration with the London School of Hygiene & Tropical Medicine and Public Health England, and has been published in The Lancet Infectious Disease.

Teaching Excellence Framework silver award

TEF Silver awarded for the quality of our teaching and student outcomes

Center for World University Rankings 2025 top 4.3%

We are in the top 4.3% of institutions globally, Center for World University Rankings 2025

Race Equality Charter silver award

Race Equality Charter Silver awarded for our pledge to advance representation, progression and success for minority ethnic staff and students

Stonewall LGBTQ+ Inclusive Employer Gold Award 2024

We are ranked 14th in Stonewall's top 100 employers for commitment to equality for LGBTQ+ staff and students

Athena Swan Gender Charter Silver Award

We were awarded Athena Swan Silver for advancement of gender equality, representation, progression and success for all

Disability Confident Employer logo

We are a Disability Confident employer, committed to ensuring opportunity for progression for all

Disabled Student Commitment logo with the text 'Signed up' and two hands forming a heart shape

Signed to the Disabled Student Commitment, an initiative to improve support for disabled students

EcoCampus Platinum logo, a platinum circle with the additional text 'The EcoCampus award for the phased implementation of an Environmental Management System'.

EcoCampus Platinum accredited for our environmental sustainability, compliance and processes

  • Facebook
  • X logo
  • Instagram
  • TikTok
  • YouTube
  • LinkedIn icon

Contact us

University of Brighton
Mithras House
Lewes Road
Brighton
BN2 4AT

Main switchboard 01273 600900

Course enquiries

Sign up for updates

University contacts

Report a problem with this page

Quick links Quick links

  • Courses
  • Open days
  • Explore our prospectus
  • Academic departments
  • Academic staff
  • Professional services departments
  • Jobs
  • Privacy and cookie policy
  • Accessibility statement
  • Libraries
  • Term dates
  • Maps
  • Graduation
  • Site information
  • Online shop
  • The Student Contract

Information for Information for

  • Current students
  • International students
  • Media/press
  • Careers advisers/teachers
  • Parents/carers
  • Business/employers
  • Alumni/supporters
  • Suppliers
  • Local residents